Gudang Informasi

Can Lung Cancer Be Mistaken For Sarcoidosis - Case Report Pulmonary And Liver Sarcoidosis F1000research - Researchers emphasize that clinicians should be aware of systemic sarcoidosis because it can easily be mistaken for cancer progression.

Can Lung Cancer Be Mistaken For Sarcoidosis - Case Report Pulmonary And Liver Sarcoidosis F1000research - Researchers emphasize that clinicians should be aware of systemic sarcoidosis because it can easily be mistaken for cancer progression.
Can Lung Cancer Be Mistaken For Sarcoidosis - Case Report Pulmonary And Liver Sarcoidosis F1000research - Researchers emphasize that clinicians should be aware of systemic sarcoidosis because it can easily be mistaken for cancer progression.

Can Lung Cancer Be Mistaken For Sarcoidosis - Case Report Pulmonary And Liver Sarcoidosis F1000research - Researchers emphasize that clinicians should be aware of systemic sarcoidosis because it can easily be mistaken for cancer progression.. Therefore we suggest that no lesion should be missed in these patients without biopsy by assuming lung involvement of sarcoidosis. Lung cancer should be excluded to confirm a diagnosis of sarcoidosis 4 , although the concurrence of sarcoidosis and lung cancer has been reported 5, 6, 7, 8 . Sarcoidosis patients may be misdiagnosed with tuberculosis, lymphoma, or lung cancer 4 . The standardized mortality rate for lung cancer was 3.26 (5.56 for males and 3.03 for females), indicating that sarcoidosis could be a risk factor for lung cancer. Various organs can be affected including the skin, lymph nodes, and liver.

Sarcoidosis is a rare disease caused by inflammation. These lumps are called granulomas and can affect how the lungs work. Furthermore, lung cancer symptoms, such as a persistent cough, back pain or weight loss, can resemble a cold or bronchitis and may not raise suspicions of lung cancer, herrera adds. 53 patients were found to have cancer after their sarcoid diagnosis of whom 27 were male (51%) and 26 were female (49%). There are currently no formal recommendations to guide the differential diagnosis workup between the evolution of lymphoma or a solid cancer and a granulomatous reaction associated with neoplasia.

Managing Sarcoidosis During Covid 19 Pandemic An Expert Guidance Statement Pulmonology Advisor
Managing Sarcoidosis During Covid 19 Pandemic An Expert Guidance Statement Pulmonology Advisor from www.pulmonologyadvisor.com
When sarcoidosis affects the lungs, symptoms can mimic idiopathic pulmonary fibrosis including shortness of breath and a dry cough. Because both mesothelioma and sarcoidosis are hard to detect and present generalized chest and respiratory symptoms, the two conditions can be mistaken for one another. By definition, sarcoidosis is a systemic disease, affecting multiple organs in the body. If it is sarcoid, then you can get the help you need for this condition. There are currently no formal recommendations to guide the differential diagnosis workup between the evolution of lymphoma or a solid cancer and a granulomatous reaction associated with neoplasia. Since sarcoidosis and lung cancer can be present concurrently, performing biopsy to obtain pathology results from any suspected lung lesion in a patient diagnosed with sarcoidosis is essential. What every physician needs to know. Sarcoidosis is known to be a cancer mimicking and masking condition, it can follow cancer or develop concurrently with cancer, and significantly increased risk of cancer can affect sufferers of sarcoidosis.

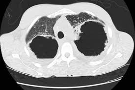
No prior imaging was available for comparison.

Apparently, lymphomas can sometimes harbor sarcoidal granulomas within cancer — and this change, although rare, is thought to perhaps reflect an immune reaction to the cancer tumor, and not the systemic disease, sarcoidosis. These lumps are called granulomas and can affect how the lungs work. If it is sarcoid, then you can get the help you need for this condition. Sarcoidosis can also affect calcium metabolism, the nervous system, the liver and spleen, muscles, bones and joints, the kidneys, lymph nodes, or any other organ. This can lead to misdiagnosis as conditions such as irritable bowel syndrome (ibs). What every physician needs to know. From my experience being diagnosed with lung cancer which fortunately turned out to be sarcoidosis of the lungs , then four years later suspected lymphoma when i had swollen lymph nodes in my neck. When sarcoidosis affects the lungs, symptoms can mimic idiopathic pulmonary fibrosis including shortness of breath and a dry cough. Only 10 similar cases had been reported previously. 53 patients were found to have cancer after their sarcoid diagnosis of whom 27 were male (51%) and 26 were female (49%). Despite careful preparation, it thus remains difficult to distinguish between these conditions even when lymph nodes are strictly evaluated. Sarcoidosis patients may be misdiagnosed with tuberculosis, lymphoma, or lung cancer 4 . Although it is most commonly thought to be a lung disease, sarcoidosis has been shown to affect almost any organ.

When i was going through my initial diagnosis, i was told that it could be lymphoma, small cell lung cancer which had metasticized, or sarcoidosis. Because both mesothelioma and sarcoidosis are hard to detect and present generalized chest and respiratory symptoms, the two conditions can be mistaken for one another. These lumps are called granulomas and can affect how the lungs work. This can lead to misdiagnosis as conditions such as irritable bowel syndrome (ibs). Sarcoidosis and neoplasia, especially lymphoma, can show overlapping presentations, thus making the diagnosis and treatment harder to deal with.

Https Encrypted Tbn0 Gstatic Com Images Q Tbn And9gcqcdswnfjoycdnoufussnqiydcawhq7tdkxjkwab4dsgqampvsn Usqp Cau
Https Encrypted Tbn0 Gstatic Com Images Q Tbn And9gcqcdswnfjoycdnoufussnqiydcawhq7tdkxjkwab4dsgqampvsn Usqp Cau from
From my experience being diagnosed with lung cancer which fortunately turned out to be sarcoidosis of the lungs , then four years later suspected lymphoma when i had swollen lymph nodes in my neck. Pancreatic cancer may be diagnosed as diabetes, due to the fact that diabetes is often a symptom or risk factor of pancreatic cancer. Sarcoidosis is known to be a cancer mimicking and masking condition, it can follow cancer or develop concurrently with cancer, and significantly increased risk of cancer can affect sufferers of sarcoidosis. The average duration of developing cancer was 6 + 0.91 years and males were found to develop cancer earlier than females (p=0.005), with a mean duration to. Only 10 similar cases had been reported previously. Sarcoidosis and neoplasia, especially lymphoma, can show overlapping presentations, thus making the diagnosis and treatment harder to deal with. The cancers in particular are lung cancer, malignant lymphomas, and cancer in other organs known to be. One report notes a case of systemic sarcoidosis that mimicked the symptoms and metastatic spread of cancer.

The cancers in particular are lung cancer, malignant lymphomas, and cancer in other organs known to be.

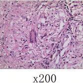
That same fungal infection is often frequently mistaken for squamous cell carcinoma, or skin cancer, when it shows up on the skin. Sarcoidosis is a rare disease caused by inflammation. It usually occurs in the lungs and lymph nodes, but it can occur in almost any organ. Only 10 similar cases had been reported previously. When sarcoidosis affects the lungs, symptoms can mimic idiopathic pulmonary fibrosis including shortness of breath and a dry cough. No prior imaging was available for comparison. After some conversations and research i now know sarcoidosis can be mistaken for cancer. A condition called sarcoidosis, most commonly found in the lungs, can be mistaken for cancer, tuberculosis, or other infections, as its symptoms are similar. That time between when they tell you the possibilities and when you get the results from the biopsy is terrifying. Occasionally this pattern of fibrocystic change is seen in the lower lung zones, an atypical location that may cause pulmonary sarcoidosis to be mistaken for. Which was a flare up of sarcoidosis. A permanent pathological slide, however, indicated that right interlobar (#11s) lymph nodes involved both sarcoidosis and lung cancer metastasis. Can sarcoidosis turn into cancer.

No prior imaging was available for comparison. The cancers in particular are lung cancer, malignant lymphomas, and cancer in other organs known to be. I've been going to support groups for the disease for 20 years now and find 3 or 4 patients a year who are diagnosed initially as having lung cancer. Furthermore, lung cancer symptoms, such as a persistent cough, back pain or weight loss, can resemble a cold or bronchitis and may not raise suspicions of lung cancer, herrera adds. Researchers emphasize that clinicians should be aware of systemic sarcoidosis because it can easily be mistaken for cancer progression.

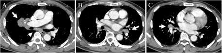
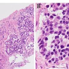
Coexistence Of Sarcoidosis And Metastatic Lesions A Diagnostic And Therapeutic Dilemma Review
Coexistence Of Sarcoidosis And Metastatic Lesions A Diagnostic And Therapeutic Dilemma Review from www.spandidos-publications.com
Pancreatic cancer may be diagnosed as diabetes, due to the fact that diabetes is often a symptom or risk factor of pancreatic cancer. One report notes a case of systemic sarcoidosis that mimicked the symptoms and metastatic spread of cancer. Since sarcoidosis and lung cancer can be present concurrently, performing biopsy to obtain pathology results from any suspected lung lesion in a patient diagnosed with sarcoidosis is essential. When referring to the stages of sarcoidosis, this is referring exclusively to pulmonary sarcoidosis. Sarcoidosis is known to be a cancer mimicking and masking condition, it can follow cancer or develop concurrently with cancer, and significantly increased risk of cancer can affect sufferers of sarcoidosis. Although it is most commonly thought to be a lung disease, sarcoidosis has been shown to affect almost any organ. There are currently no formal recommendations to guide the differential diagnosis workup between the evolution of lymphoma or a solid cancer and a granulomatous reaction associated with neoplasia. Apparently, lymphomas can sometimes harbor sarcoidal granulomas within cancer — and this change, although rare, is thought to perhaps reflect an immune reaction to the cancer tumor, and not the systemic disease, sarcoidosis.

When i was going through my initial diagnosis, i was told that it could be lymphoma, small cell lung cancer which had metasticized, or sarcoidosis.

Pancreatic cancer may also be misdiagnosed as gallstones or pancreatitis, or the inflammation of the pancreas. After some conversations and research i now know sarcoidosis can be mistaken for cancer. A condition called sarcoidosis, most commonly found in the lungs, can be mistaken for cancer, tuberculosis, or other infections, as its symptoms are similar. I've been going to support groups for the disease for 20 years now and find 3 or 4 patients a year who are diagnosed initially as having lung cancer. That same fungal infection is often frequently mistaken for squamous cell carcinoma, or skin cancer, when it shows up on the skin. Sarcoidosis can also affect calcium metabolism, the nervous system, the liver and spleen, muscles, bones and joints, the kidneys, lymph nodes, or any other organ. Various organs can be affected including the skin, lymph nodes, and liver. Sarcoidosis and neoplasia, especially lymphoma, can show overlapping presentations, thus making the diagnosis and treatment harder to deal with. Copd is a term used for a group of obstructive lung diseases. There are currently no formal recommendations to guide the differential diagnosis workup between the evolution of lymphoma or a solid cancer and a granulomatous reaction associated with neoplasia. Since sarcoidosis and lung cancer can be present concurrently, performing biopsy to obtain pathology results from any suspected lung lesion in a patient diagnosed with sarcoidosis is essential. Despite careful preparation, it thus remains difficult to distinguish between these conditions even when lymph nodes are strictly evaluated. Only 10 similar cases had been reported previously.

Advertisement